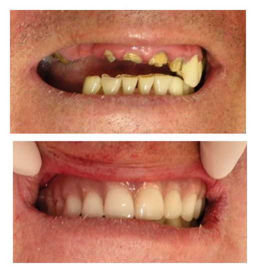
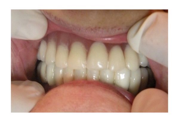
Before and After Gallery
Choose the location that works best for you
Ciudad Juárez or Puerto Vallarta—and get the smile you deserve!
3900 Av. De La Raza
Ciudad Juarez, Mexico 32850
Ciudad Juarez, Mexico 32850
Tap the blue address bar to open directions in Google Maps
Calle Havre 239-Piso 2, Versalles
48310 Puerto Vallarta
48310 Puerto Vallarta
Tap the blue address bar to open directions in Google Maps

























