CEREC Crowns
WHY WOULD YOU NEED A ONE-VISIT DENTIST?
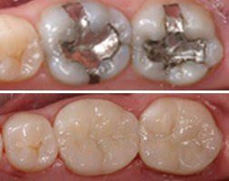
HAVE YOU EVER BROKEN A TOOTH AND BEEN TOLD YOU NEED A CROWN OR A CAP TO FIX THE BROKEN TOOTH?
To fix this it usually takes multiple visits going back and forth just to get the procedure done. Well, if you have your broken tooth fixed with Rio Grande Dental the entire procedure can be done in a single visit using patented technology. No more temporaries, no more multiple shots to get you numb and no more missed days at work just to get your tooth fixed. Get it all done in one visit. One breakthrough instrument, called CEREC®, allows Drs. Nitardy & Nunez Rio Grande Dental to quickly restore damaged teeth with natural-colored , saving patients time and inconvenience.
WHAT IS CEREC®?
CEREC ® is a new state-of-the-art method for fabricating dental restorations in just one visit. CEREC® uses computer-assisted design (CAD) and computer-aided manufacturing (CAM) to offer single-day restorations for patients. This new technology has revolutionized ceramic restorations such as crowns and veneers for patients so that there is no longer a wait between preparing the restoration and finally receiving the finished product. With CEREC®, the technology is used while you are sitting in the dental chair, which is both economical for you and your dentist. The restorations created are metal-free and tooth colored to restore your tooth to its natural beauty, strength and function. With CEREC®’s CAD-CAM technology, these ceramic restorations can all be done in one single visit to the dentist. We can now help you maintain and improve your smile – more conveniently than ever before! What this means to our patients is that a lot of treatments, such as crowns, can be accomplished in one single office visit. This process, featuring CEREC® technology, means that we can offer a more convenient treatment plan as well as a more affordable treatment.
ADVANTAGES TO USING CEREC
- No Temporary Crown
- Digital Dental Impressions
- Highly Precise
- Looks and Feels Natural
- Safe and Sturdy Materials
- Dental crowns in just one visit
HOW DOES THE TECHNOLOGY WORK?
CEREC® uses CAD/CAM (Computer Aided Design / Computer Aided Manufacturing) technology, incorporating a camera, computer and milling machine in one instrument. Drs.Nitardy & Nunez Rio Grande Dental uses a special camera to take an accurate picture of the damaged tooth. This optical impression is transferred and displayed on a color computer screen, where the doctor then uses CAD technology to design the restoration. Then CAM takes over and automatically creates the restoration while the patient waits. Finally, the doctor bonds the new restoration to the surface of the old tooth. The whole process takes about one-two hours.
WHAT DOES THIS INNOVATION MEAN FOR A PATIENT?
A tooth-colored restoration means no more silver fillings discoloring smiles. The filling is natural-looking, compatible with tissue in the mouth, anti-abrasive and plaque-resistant. Drs.Nitardy & Nunez Rio Grande Dental longer need to create temporaries or take impressions and send them to a lab. Because of this, the traditional second visit has been eliminated. The restorations have been proven precise, safe and effective.
Call us today to find out more about CEREC single-visit restorations.
Choose the location that works best for you
Ciudad Juárez or Puerto Vallarta—and get the smile you deserve!
Ciudad Juarez, Mexico 32850
Tap the blue address bar to open directions in Google Maps
48310 Puerto Vallarta
Tap the blue address bar to open directions in Google Maps



