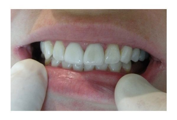
Cosmetic Dentistry
Transform Your Smile in Just 6 Days
High-Quality Cosmetic Dentistry at Rio Grande Dental
Dreaming of a beautiful smile but frustrated by the high cost of dental work in the United States or Canada?
At Rio Grande Dental, we help patients restore their smiles quickly, safely, and affordably using advanced digital dentistry and metal-free restorations.
✔ Full smile transformations in as little as 6 days
✔ Save up to 70% compared to U.S. prices
✔ 10-Year Warranty on crowns and bridges
✔ Woman-Owned, Second-Generation Practice
✔ Over 21 Years of Experience
Thousands of patients from the U.S. and Canada trust Rio Grande Dental for high-quality cosmetic dentistry.
How Many Appointments Are Needed for Crowns, Veneers or Bridges?
Dental crowns, veneers and bridges typically require two visits.
First Visit – Preparation (1 Day)
During your first appointment, our dentist will:
• Examine and prepare the teeth
• Perform digital scans (no messy impressions)
• Design your restorations using advanced digital technology
• Place temporary crowns to protect your teeth
Your custom crowns are then fabricated in a high-quality dental laboratory.
Second Visit – Final Placement (1 Day)
When you return, the dentist will:
• Remove the temporary crowns
• Clean and prepare the teeth
• Check the fit and aesthetics of the new crowns
• Bond the final metal-free crowns using strong dental cement
Treatment Options for Out-of-Town Patients
Option 1 – Complete Treatment in 6 Days
Stay in the area while your restorations are being fabricated and complete your treatment in one visit.
Option 2 – Two Short Visits
• First visit: 1 day for preparation
• Return 1-2 weeks later for final placement (1– day)
Cosmetic Dentistry Can Improve
• Stained or discolored teeth
• Broken or cracked teeth
• Misshapen teeth
• Short teeth
• Misaligned teeth
• Missing teeth
Our goal is to create a smile that enhances both your facial aesthetics and confidence.
Smile Makeover Cost
Full Smile Makeover:
$416 USD per tooth
Our restorations are:
✔ Metal-free zirconia or porcelain
✔ Digitally designed and precision made
✔ Natural-looking and durable
All treatments include a 10-Year Warranty.
Exclusive Offer – Puerto Vallarta Location
⭐ 20% Discount Available at Our Puerto Vallarta Clinic
Complimentary Patient Transportation
For your convenience we provide free transportation for patients.
Juarez Clinic
Pickup from El Paso hotels or meeting point
Puerto Vallarta Clinic
Pickup from local hotels
Why Patients Choose Rio Grande Dental
✔ 21+ Years of Experience
✔ Woman-Owned Dental Practice
✔ Second-Generation Dentists
✔ Advanced Digital Smile Design
✔ Metal-Free Cosmetic Restorations
✔ Trusted by patients from the U.S. and Canada
Our goal is to create a smile that enhances your confidence, health, and appearance
How It Works
Contact us to schedule your appointment at one of our two clinic locations: Ciudad Juárez, just across the border from El Paso, Texas, or Puerto Vallarta, a beautiful beach destination in Mexico.
Once your appointment is scheduled, you can plan your trip. You will know the exact dates you need to stay, so you can book your hotel and transportation (flight, bus, or car) to your destination.
We provide transportation from your hotel to the clinic and back until your treatment is completed.
Travel Requirements:
- Ciudad Juárez Clinic: A valid U.S. ID or passport is required to cross the border.
- Puerto Vallarta Clinic: A valid passport is required for travel.
Payment Options:
We accept Visa, MasterCard, American Express, Apple Pay, Cash App, Zelle, wire transfer, U.S. dollars, or Mexican pesos.
Our team will guide you through the entire process to make your visit easy, comfortable, and stress-free.
Ready for Your New Smile?
Our team is happy to answer your questions and help you plan your visit.
📞 Call Today to Schedule Your Appointment
Click to Call
Toll-Free (USA & Canada)
Dental Treatments with Warranty
Metal porcelain crowns: 2 years free replacement warranty
Lava Crown and bridge (zirconia-base restauration overland with an approved veneering ceramic): 10 year free replacement warranty.
Emax crown and bridge (made of single block of lithium disilicate ceramic): 10 year free replacement warranty.
Full Zirconia restaurations crown and bridge: 10 year free replacement warranty.
Cerec Crowns 10 year free replacement warranty.
* Conditions Apply
Choose the location that works best for you
Ciudad Juárez or Puerto Vallarta—and get the smile you deserve!
Ciudad Juarez, Mexico 32850
Tap the blue address bar to open directions in Google Maps
48310 Puerto Vallarta
Tap the blue address bar to open directions in Google Maps




















