Before and After Gallery
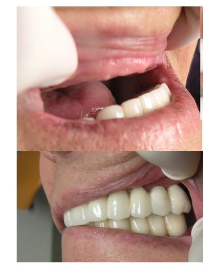
Full Arch Restoration With Implants

Full Arch Restoration With Implants

Full Mouth Restoration with Implant

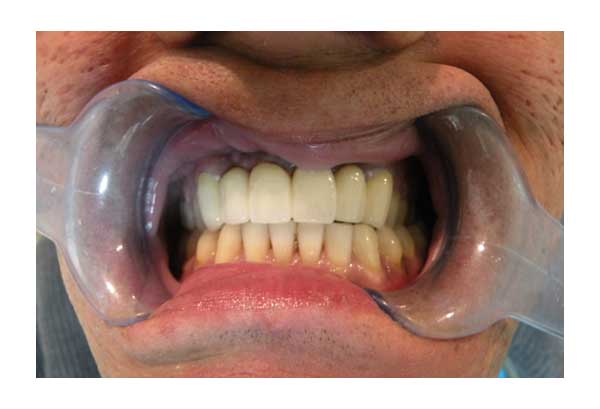
Upper Arch Restoration With Implants

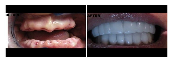
Double Arch Rehabilitation with Implant

Upper Arch Restoration With Implants

Upper Arch Restoration With Implants

Double Arch Rehabilitation with Implant

Upper Arch Restoration With Implants

Choose the location that works best for you
Ciudad Juárez or Puerto Vallarta—and get the smile you deserve!
Ciudad Juarez, Mexico 32850
Tap the blue address bar to open directions in Google Maps
48310 Puerto Vallarta
Tap the blue address bar to open directions in Google Maps


















